Jump to content

Vorsicht mit Glasflaschen. 🍾


Empfohlener Beitrag

OK. 😍

Ich war im Krankenhaus. Ich habe eine Bierflasche zu weit reingeschoben und konnte sie aus eigener Kraft nicht mehr heraus pressen. Es soll mir eine Lehre sein. 😁

In Zukunft werde ich - wenn überhaupt - nur Dildos mit breitem stabilen Griff oder mit langer solider Kette benutzen. Flaschen sind gefährlich : 

1) Glas kann splitten und es kann keine Schraube eingedreht werden 

2) Flaschenboden ist geriffelt; d. h. Saugglocke hält nicht

Heute hatte ich zum ersten Mal wieder normalen Stuhlgang - gelobt sei der Erfinder des Paracetamol-Zäpfchens. Auch die Windeleinlage brauche ich nicht mehr. 

Vielleicht kein Thema zum Diskutieren, dafür aber eines, um zu warnen.

Bitte immer schön vorsichtig sein bei allem, was man sich da "hinten" so einführt.

Bleibt gesund.

Ich hab gehört, Äpfel kann man wieder gut auskacken. Versuchs mal mit einer Analkette. Ich schieb mir manchmal auch Bierflaschen rein, das ist eine Warnung für mich. Ich benutze Corona-Flaschen. Die gehen sanft rein.

Ich habe einmal den König vom Schachspiel meiner damals "noch nicht Frau" reingeschoben und sie damit nicht das erste Mal gefickt. Der wollte dann nicht mehr raus. Ich habe zwei Teelöffel geholt und ihn so geborgen. Wir lachen heute noch über die königliche Nummer mit Entbindung. 

Ich würde kein Spielzeug ohne "Rettungsleine" einführen. 

(bearbeitet)
vor 58 Minuten, schrieb micha144:

OK. 😍

Ich war im Krankenhaus. Ich habe eine Bierflasche zu weit reingeschoben und konnte sie aus eigener Kraft nicht mehr heraus pressen. Es soll mir eine Lehre sein. 😁...

???? Wie war denn die Reaktion des Krankenhaus-Personal's auf den "Fund"???

bearbeitet von Uyen_G-Team
Vollzitat gekürzt.
vor 3 Minuten, schrieb Weinheim:

Wie war denn die Reaktion des Krankenhaus-Personal's auf den "Fund"???

Feuerwehr und Kliniken sind mit solchen Problemen vertraut. Die reagieren da nicht besonders. 

(bearbeitet)

Einen schönen,dicken, Doppeldildo, den kann man komplett reinschieben und lange drin lassen. Man wird herrlich gedehnt und bekommt ihn ganz einfach, da flexibel, auch wieder rausgedrückt.

 

bearbeitet von BiCock-Bitch_RE
Text vergessen
vor 24 Minuten, schrieb Weinheim:

???? Wie war denn die Reaktion des Krankenhaus-Personal's auf den "Fund"???

Ich war erstaunt, dass mir alle freundlich und hilfsbereit begegnet sind. Die Schwester an der Anmeldung hat sogar versucht mich zu trösten "da sind Sie nicht der erste mit dem Problem - und Sie werden auch nicht der letzte sein".

Zu Anfang hatte ich noch gehofft, dass wenn sich erst einmal genug Kot hinter der Flasche angesammelt hat, könne ich sie herauspressen. Deshalb habe ich einen ganzen Tag gewartet bevor ich mich an einen Arzt gewandt habe. Ein gefährlicher Irrtum : ich bekam noch eine Entzündung dazu. 

  • Moderator

Für alle, die am Wahrheitsgehalt dieses Themas zweifeln oder es in's lächerliche ziehen wollen:
Eine deutliche Warnung vor solchen Praktiken ist durchaus angebracht.

Hier ein Arztbericht 

Zitieren

Ich bin Arzt im Praktikum im Klinikum meiner Stadt. Zur Zeit habe ich Dienst in der Notaufnahme.
Es vergeht kaum ein Abend, an dem nicht irgendein Typ breitbeinig, mit schmerzverzerrtem Gesicht zur Tür hereingehumpelt kommt, dem irgendwas im Hintern steckt. Meistens sind es irgendwelche Gemüsesorten, Karotten oder Gurken. Manchmal auch Glühbirnen oder kleine Flaschen.
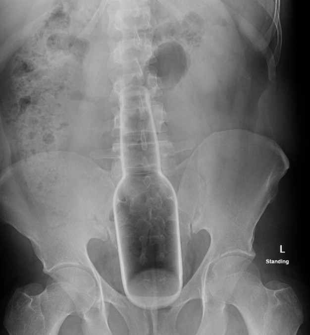
Den Rekord hält ein Kerl, der es geschafft hat sich eine Bierflasche (0,5l) derart in den Hintern zu schieben, dass sie von außen nicht mehr zu sehen war und operativ entfernt werden musste. Ich habe bei dem Eingriff assistiert. Die Flasche hatte sich am Übergang vom Sigma zum absteigenden Colon des Dickdarmes verkeilt und hätte die Darmwand fast aufgerissen.
Die Ausreden, die diese besonderen Patienten bringen sind immer die gleichen: "Ich bin draufgefallen beim ..., die Flasche stand auf einem Stuhl und ich habe mich aus Versehen daraufgesetzt" etc. Wenn also mal wieder ein Typ breitbeinig reingestelzt kommt wird unter dem Personal blitzschnell eine Wette abgeschlossen. Das läuft ähnlich wie an der Börse ab, komplett nonverbal, mit festgelegten Gesten. Die Einsätze sind auch festgelegt. Gewettet wird, was der Mann im Hinterstübchen hat, wie es angeblich da reingekommen ist und ob es ambulant oder chirurgisch entfernt werden muss. Wer richtig liegt bekommt seinen Einsatz doppelt zurück, das übrige Geld wird in eine besondere Kasse eingezahlt, in der sich mittlerweile über 500 Euro befinden. Der komplette Inhalt dieser Kasse wird an den Mann ausbezahlt, der ehrlich sagt, wie die Flasche/Gurke oder was auch immer in seinem Allerwertesten gelandet ist. Folgender Wortlaut ist dabei wünschenswert: "Leute, ich hab ne Pulle im Arsch. Die hab ich mir da reingesteckt, weil ich es geil fand. Jetzt bekomme ich sie nicht mehr alleine raus, bitte helft mir!" Ich hoffe, dass ich diesen Tag erleben darf. Also Leute, seid ehrlich zum Onkel Doktor, es lohnt sich. Ach ja, meine Beichte: Ich beichte, dass ich schon oft richtig lag mit meiner Wette. So oft, dass der Gewinn den Verlust mehr als ausgleicht. Vom gewonnen Geld habe ich mir Sexspielzeuge gekauft.
(Quelle: beichthaus)

bier.jpg

Es gab auch schon Fälle bei denen das Glas-Spielzeug in Aktion zerbrochen ist. Das kann dann lebensgefährliche Folgen haben. Deswegen immerl den Kopf benutzen bevor das Köpfchen die Regie übernimmt

Prinzipiell sollte man nur Bio nehmen! Das bedeutet etwa Banane, Möhre, Gurke oder auch ein hartgekochtes Ei. Die lösen sich im Fall eines Falles durch Sekret dann selber auf.

Es ist nicht zu fassen.jeder kennt dieses Gefahr......Habt ihr nicht besseres was zu schieben?

Flaschen nein, aus Glas sowieso nicht,  aber probiert mal Getränke- und Spraydosen. Und die zuvor im Kühlschrank gelagert, das ist der Wahn! Siehe meine Bilder. :-)

Auf jeder Notaufnahme gibt es ein "Kuriositäten Ordner" !
I hab es gesehn eine 2,1/5l colo Glasflasche... & das war nich mal das "komischeste"
Schon erstaunt , aber so is das mit immer mehr immer besser immer weiter immer geiler ...

  • Moderator
vor 1 Stunde, schrieb mundorgel:

Flaschen nein, aus Glas sowieso nicht,  aber probiert mal Getränke- und Spraydosen. Und die zuvor im Kühlschrank gelagert, das ist der Wahn! Siehe meine Bilder. :-)

Auch DAS kann richtig in's Auge ........ oder in den Anus gehen...dose.jpg

(bearbeitet)

Ich warte nur drauf das noch der Satz kommt " Matchbox Autos  sind auch geil " 😂😂😂😂😂😂😂😂😂

Jeden das seine aber sind Dildos heut zutage so teuer  🤔🤔🤔🤔.

bearbeitet von Inaktives Mitglied

Beim ersten Mal ist mein Plug verschwunden da hatte ich richtig Panik war Gerade auf einen gayparkplatz hat ein Freund geholfen hat 15 Minuten gebraucht bis er ihn heraus hatte. Letztens ist der dildo verschwunden aber den konnte ich selber wieder rausfischen 🙈🤷

Ein >>Straußenei << mit Kette als Reißleine ist ebenfalls nicht zu empfehlen und gefährlich! 
Drei Tage Krankenhaus waren bei mir die Folge 

Ogottogott - ja, das Spiel mit der Gefahr. Aber Glas ist wirklich zu gefährlich, da sollte man andere Gegenstände wählen. Aber ich kenne vergleichbare Situationen. Für mich waren es Bauzäune mit Löchern, die in passender Größe und passender Höhe vorhanden waren, eine Gelegenheit, diese Löcher zu ficken. Natürlich nachts. Einmal konnte ich gerade rechtzeitig zurückziehen, und: Meine Ohren hatten mich nicht getäuscht, da befand sich ein Wachhund im Gelände, der das mitgekriegt hatte. Hätte auch schief gehen können....

  • Moderator
vor 17 Minuten, schrieb leach1m:

da befand sich ein Wachhund im Gelände, der das mitgekriegt hatte.

nicht auszudenken wenn er deinen Pipimann mit einem Bockwürstchen verwechselt hätte :confused:

Oh, oh, was man hier lesen muss. Glas ist gefährlich, Obst ist etwas für hungernde Kinder, Dildos sind meist aus Plastik, also umweltfeindlich.

Wie groß muss die Not sein, sich alles reinzustecken, was geht. Wenn überhaupt, gehört da doch wirklich nur ein erigierter Penis rein, oder? Vielleicht bin ich ja auch zu altmodisch.

  • 3 Wochen später...

Heute um 14 Uhr werde ich von einem geilen Ficker mit dem echten Penis bedient. Er fragte mich auch schon, ob ich es mit Gemüse schon gemacht habe. Tatsächlich, eine Gurke gleitet ganz gut, weil sie ein glatte Oberfläche hat. Ich muss sie aber immer noch festhalten können, um sie rauszuziehen. Ein Dildo ist mir auch schon ganz hineingerutscht. Ich konnte ihn mit Mühe wieder auspressen.

Am 23.12.2020 at 17:27, schrieb mundorgel:

Flaschen nein, aus Glas sowieso nicht,  aber probiert mal Getränke- und Spraydosen. Und die zuvor im Kühlschrank gelagert, das ist der Wahn! Siehe meine Bilder. :-)

Auch Getränke oder Spraydose kriegt man zum Teil nicht mehr raus! Besonders "lustig" ist wenn von der Spraydose der Deckel abspringt und dann mit der recht scharfkantigen Öffnung nach unten im Enddarm hängt. 

Immer was nehmen was man an Kette, Band etc selbst wieder rauskriegen kann!! 

×
×
  • Neu erstellen...